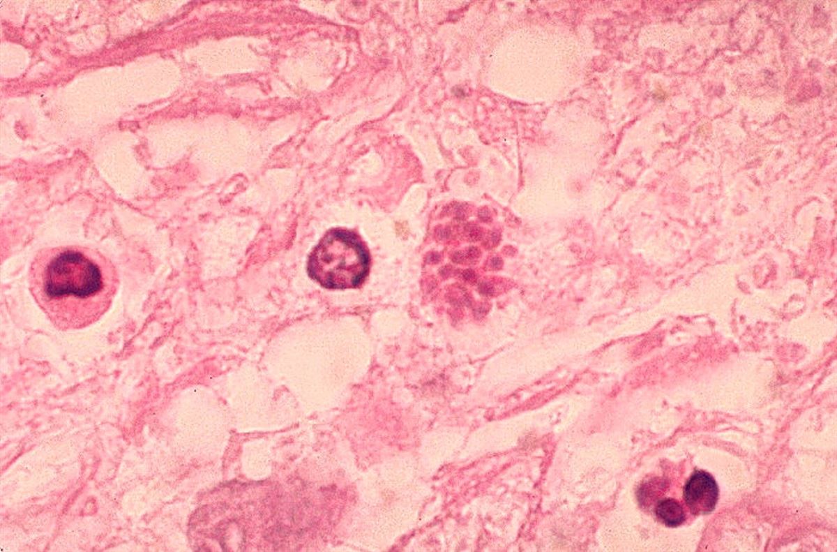
De acordo com o estudo, o alerta é para a infecção via sêmen em cabras, diferentemente das formas mais conhecidas de transmissão da zoonose. Os pesquisadores concluíram que o sêmen contaminado com o parasito causa patologias reprodutivas, como por exemplo, morte embrionária; ciclo sexual improdutivo (anestro); dilatação da trompa (hidrossalpinge); e cisto ovariano; podendo se manifestar nas fases aguda ou crônica da doença. “Os cabritos que nasceram a termo, foram positivos para o agente, apesar de nascerem clinicamente saudáveis. Além disso, foi confirmado que a transmissão venérea por T. Gondii ocorre em cabras acasaladas com reprodutor caprino infectado experimentalmente”, explicou Porto.
O primeiro trabalho que registra a prevalência da toxoplasmose caprina no estado de Alagoas foi publicado em 2011, mas, segundo o professor, a citação do primeiro relato no Brasil foi em 1956. Não existem estudos que indiquem precisamente as perdas reprodutivas de rebanho causadas pela enfermidade, devido a dificuldade de identificação pelos tratadores ou criadores, porém, a preocupação com o impacto à saúde humana também existe. “O leite caprino é uma importante fonte proteica para o ser humano e os animais na fase aguda da doença podem eliminar o parasita no leite. Se ingerido cru, pode ser uma fonte de infecção para o homem”, alertou o pesquisador.
Estima-se que, em todo o mundo, a toxoplasmose acometa de 30% até 90% dos adultos que tiveram contato com o protozoário Toxoplasma gondii, facilmente encontrado na natureza. Por outro lado, na maioria dos casos, a doença é uma manifestação benigna, porque as próprias defesas do organismo são capazes de deixar o parasita inerte. Os cuidados especiais devem ser para aquelas pessoas com imunidade diminuída pela consequência de Aids, transplantes ou tratamento como quimioterapia.
Sintomas
A toxoplasmose pode ser uma doença totalmente assintomática ou provocar quadros graves no miocárdio, fígado e músculos, além de encefalite e vermelhidão no corpo. É preciso ter especial atenção para sintomas como febre, manchas, cansaço, ínguas, dificuldade para enxergar e lesões na retina.
Novos estudos
As pesquisas da Ufal relacionadas à transmissão via venérea no rebanho caprino estão sendo aprofundadas. A partir da tese de Flaviana Wanderley, defendida no mês de fevereiro pela Universidade Federal Rural de Pernambuco, alunos e professores da unidade educacional de Viçosa, desenvolveram artigos premiados, inclusive, no II Simpósio Brasileiro de Toxoplasmose, evento que reúne pesquisadores de todo o Brasil e do mundo, realizado na Usp, em São Paulo, no final de janeiro.
Recentemente, mais um projeto do grupo de pesquisa da Ufal que faz parte da Rede Brasileira de Toxoplasmose, foi aprovado pelo CNPq. Intitulado “Neosporose em Caprinos: Dinâmica e Repercussões da Infecção Natural e Reprodução Experimental da Enfermidade”, o trabalho permitirá o intercâmbio de pesquisadores e alunos de graduação e pós-graduação entre os grupos de pesquisa da UFRPE e da Universidad Complutense de Madrid (UCM), além das possibilidades de parcerias para desenvolver novas pesquisas.
Os pesquisadores estão diretamente em contato com os mais avançados estudos da doença no mundo, e com a oportunidade de trabalhar com nomes internacionalmente reconhecidos na área, como é o caso do coordenador do grupo de pesquisa Saluvet, da UCM, o Dr. Luis Ortega Mora.
As informações são da Ufal, adaptadas pela Equipe FarmPoint.














Gabriela Rezende da Costa
Brasil Novo - Pará - Médica Veterinária Consultoria/Extensão
postado em 11/03/2013
Um trabalho muito importatne, principalmente no aspecto zoonótico, mas também uma possibilidade diagnóstica em casos de doenças reprodutivas. Mais um ponto para nós, Médicos veterinários, ficarmos de olho.